欢迎光临徐州市儿童医院(www.xzetyy.cn),宝宝的健康一直是我们的追求!
交通指南
地理位置:徐州市苏堤北路18号
乘车路线:乘13、67、604路公交车儿童医院站下,乘1、8、65、35路公交车到矿务局站下沿苏堤北路向北走200米左右,乘坐地铁1号线到苏堤路站下走5号出口向北200米左右均可到达。

儿童导医导诊门诊预约:962099
儿童急救120拨打电话:962099
服务投诉、出院后随访:962099

您现在的位置是 > 徐州市儿童医院 > 徐州市儿童医院介入科简介——专科治专病
徐州市儿童医院介入科简介——专科治专病
发布人:admin 最后更新时间:2023年2月23日 共点击:1845次
       中国血管瘤血管畸形联盟常务理事单位、中国妇儿介入联盟理事单位、中华医学会介入专委会妇儿介入学组委员单位、中国医师协会介入医师妇儿介入学组委员单位、中国中西医结合介入分会理事委员单位、中国抗癌协会肿瘤介入分会儿童肿瘤专委会委员单位、中国介入医学产业技术创新联盟理事单位。
       血管瘤/介入科自成立以来科室注重科研及学术交流,发表国家级科技核心以上论文数十篇,每年支持并积极参与各级学术会议。每年平均完成手术量近千台,跃居全国前列。接诊患儿辐射苏鲁豫皖,遍布全国。
       血管瘤/介入科位居淮海经济区以及江苏省内领先水平,国内儿童介入诊疗专科前列。科室为一级临床科室,由血管瘤/介入专病门诊、肿瘤/介入专病门诊,病区及介入手术室(导管室)组成,建立了完整的门诊-病区-介入手术室的微创介入诊疗体系。
       血管瘤/介入科是新型以疾病为中心建立的血管瘤专业综合诊疗专科,诊疗模式以疾病为中心,根据不同患儿病情综合选择诊疗方案,主要有观察疗法、加压包扎治疗、局部注射治疗、口服盐酸普萘洛尔药物治疗、硬化栓塞治疗等,根据患儿具体病情选择一种或多种诊疗方案,以实现对血管瘤小化治疗、优化疗效的理念,以小的代价达到完美的疗效(无疤痕)。儿童微创介入治疗具有创伤小、疗效好、并发症少、患者恢复快、住院时间短等优点。
       主要诊治疾病
       以血管瘤、淋巴管瘤、血管畸形等脉管畸形为诊疗技术核心,涵盖包括咯血、呕血、儿童股骨头无菌性坏死、肾动脉狭窄、肝母细胞瘤、肾母细胞瘤以及视网膜母细胞瘤等在内的各类良恶性肿瘤。
       特色诊疗技术和项目
       1、经导管动脉硬化栓塞治疗巨大血管瘤;
       2、经导管动脉硬化栓塞治疗复杂动静脉畸形,包括K-T综合征、K-M综合征、P-W综合征等。
       3、局部注射治疗血管瘤;
       4、外涂噻吗洛尔治疗血管瘤;
       5、经皮硬化治疗淋巴管瘤;
       6、经皮硬化治疗血管畸形;
       7、口服西罗莫司治疗复杂脉管畸形;
       8、口服盐酸普萘洛尔治疗血管瘤;
       9、经导管动脉栓塞治疗咯血;
       10、经导管动脉栓塞治疗消化道出血;
       11、经导管动脉球囊扩张治疗肾动脉狭窄;
       12、经导管动脉灌注治疗儿童股骨头无菌性坏死;
       13、经导管动脉化疗栓塞治疗肝/肾母细胞瘤;
       14、经导管动脉灌注化疗治疗视网膜母细胞瘤;
       15、经皮穿刺活检。

       

       血管瘤

       血管瘤多发于婴儿期,其中60%发生于颌面部,具有增生期、平稳期及消退期的自然病程。婴儿早期血管瘤处于快速增长期,生长迅速,巨大瘤体常破溃出血、合并感染,经久不愈,或形成明显疤痕,损毁容貌,甚至危及生命,给患儿带来极大痛苦。少数病例发展成Kasabach-Merritt综合症,病死率高。
       1、血管瘤经导管动脉硬化栓塞治疗
       经股动脉植入血管鞘,引入微导管,将微导管插入至血管瘤供血动脉内,向血管瘤内注入硬化剂以及栓塞剂。拔管后仅在大腿根部留有针尖样大小的小孔,术后恢复快,无疤痕。
        2、血管瘤经皮穿刺硬化术

       用小号头皮针穿刺血管瘤周边皮肤向血管瘤内注入硬化剂。 

        

       3、卡-梅综合症(KM综合征)硬化以及西罗莫司治疗

       4、外涂噻吗洛尔滴眼液外涂治疗血管瘤

       淋巴管瘤
       淋巴管畸形(旧称淋巴管瘤)是儿童常见的先天性脉管畸形之一,可发生在身体任何部位,确切病因不明,以头颈部、腋下为好发。淋巴管畸形大多不能自行消退,随着年龄增长,可明显增大。还可以发生疼痛、出血或压迫、侵及邻近组织结构,继之影响行走、运动、吞咽和呼吸功能,气管旁淋巴管畸形甚至有出血窒息死亡的危险。
       淋巴管畸形常表现为大多肤色正常,隆起于皮肤;局部皮肤温度正常;超声检查大多可以明确诊断,必要时结合磁共振等影像学检查。淋巴管畸形治疗方法有多种,包括手术切除、硬化治疗等。手术切除,特别是对于头颈部淋巴管畸形,由于解剖较复杂,易损伤神经及血管,有些无法彻底根除,有一定复发率,及破坏容貌的风险。硬化治疗有创伤小、起效快、局部无创伤、不容易发生严重坏死、不留瘢痕及可重复注射以及无明显副作用等优点。
       淋巴管畸形经皮硬化术:经皮穿刺淋巴管畸形囊腔,抽出淋巴液,注入硬化剂,破坏淋巴管畸形囊壁细胞,淋巴管畸形纤维化萎缩消失。

       血管畸形
       血管畸形是儿童常见的先天性脉管畸形之一,可发生在身体任何部位,确切病因不明,以颅面部、四肢为好发。血管畸形不能自行消退,随着年龄增长,可明显增大。不仅影响容貌,还可以发生疼痛、溃疡、出血或压迫、侵及邻近组织结构,继之影响行走、运动、语言、吞咽和呼吸功能,甚至有出血窒息死亡的危险。
       血管畸形常表现为青紫色,隆起或不隆起皮肤;局部皮肤温度正常;回流静脉压增高时病灶更明显,核磁共振检查可有特征性的影像学改变。血管畸形治疗方法有多种,包括手术切除、激光照射、硬化治疗等。手术切除出血多,不易控制,视野不清,有些无法彻底根除。若欲保护重要组织行姑息切除,则残留的血管畸形及丰富的吻合血管易复发。如彻底切除血管畸形,创伤大,易导致局部缺损畸形,也影响容貌及功能,修复困难。激光照射穿透深度有限,适合治疗表浅病变,对于巨大以及组织深部的血管畸形则无效。硬化治疗血管畸形,有治疗方法简单、起效快,局部无创伤,不发生严重坏死,不留瘢痕、可重复注射以及无明显副作用等优点。
       血管畸形经皮硬化术:经皮穿刺畸形血管,注入含碘造影剂观察血管畸形的形态、大小以及血流速度等,选择不同的硬化剂,注入畸形血管内,破坏血管内皮细胞,使血管腔纤维化闭塞后消失。

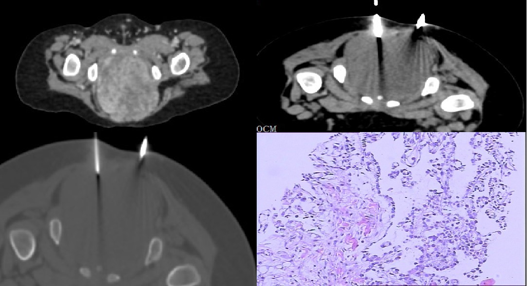
       肝母细胞瘤
       肝母细胞瘤(Hepatoblastoma,HB),占儿童恶性肿瘤发病的1%左右,但却是儿童时期最常见的肝脏恶性实体肿瘤,占50%~60%,占所有的肝脏肿瘤病变的25%~45%。 由于本病病程短,恶性程度大,肿瘤切除率低,预后差,所以肝母细胞瘤至今仍是小儿肿瘤的难治之症之一。近十几年来,介入医学在临床中的广泛应用,一些学者探索在肝母细胞瘤中行经导管动脉化疗栓塞术(transcatheter arterial chemoembolization ,TACE),获得了良好的效果,故经导管动脉化疗栓塞术已经成为肝母细胞瘤治疗的重要手段。 经导管动脉化疗栓塞治疗肝母细胞瘤的优势:1.正常肝脏有门静脉和肝动脉两套供血系统,正常肝组织75%的血液来自门静脉 ,25%来自肝动脉,而肝脏恶性肿瘤则90%~95%以上的血液由肝动脉提供,因此对肝动脉的栓塞不会引起正常肝组织的广泛坏死。2.介入治疗能明显有效的减少肝动脉的血液供应,使肿瘤血管减少、变细甚至完全消失,阻断了肿瘤的主要血供对肿瘤产生巨大的杀伤作用,促进肿瘤的坏死,使肿瘤明显缩小,同时介入治疗对正常肝组织的血供不产生影响且使正常的肝组织有代偿性增大的可能性。
肝母细胞瘤化疗栓塞前后对比


       肾母细胞瘤
       肾母细胞瘤又称为Wilms tumor,是儿童最常见的腹部恶性肿瘤,在文献上称谓此瘤的名称多达80余个,反应出对该肿瘤认识过程的复杂性,其发病率在小儿腹部肿瘤中占首位。肿瘤主要发生在生后最初5年内,特别多见于2~4岁。左右侧发病数相近,3%~10%为双侧发病,或同时或相继发病。男女性别几无差别,但多数报告中男性稍多余女性。随着对肾母细胞瘤组织病理学检查及DNA含量测定的研究,并根据临床分期与病理类型所制定的治疗方案,肾母细胞瘤的治疗效果取得了惊人的进步。经肾动脉化疗栓塞术已经成为肾母细胞瘤重要治疗方案,特别是对局部向外侵犯或跨过中线的肾母细胞瘤,已经得到了广泛的认可,其技术已趋于成熟。同时,经肾动脉的化疗栓塞术可激活机体免疫机制来对抗肿瘤。经肾动脉化疗栓塞术治疗肾母细胞瘤的优势:1、经肾动脉化疗栓塞治疗肾母细胞瘤,化疗栓塞药物通过肾动脉直接作用于瘤体,明显优于全身化疗。2、目前普遍认为肾动脉的完全栓塞相当于先结扎肾动静脉,不仅可以减少肿瘤播散,而且由于阻断了肿瘤血供,可以造成肿瘤缺血坏死萎缩,病肾因梗死而水肿,与健康组织层次分明,曲张的肿瘤血管塌陷。3、对于巨大肾母细胞瘤,经肾动脉化疗栓塞后,瘤体明显缩小,可达80%以上。

       穿刺活检
       穿刺活检是病理学检查的一个特殊类型。对包块进行组织学穿刺,取出组织后,进行病理学检查来明确诊断。
       儿童股骨头无菌性坏死
       儿童股骨头无菌性坏死,又称Perthes病,系一种发病原因不明确的综合征。表现为股骨近段和股骨头骨骺的缺血性改变。密度增高的股骨头随后吸收而由新生骨代替。在这一过程中股骨头的力学特性发生改变,显示扁平和扩大,最后再逐渐塑形。Perthes病的特点:1、缺血以及不同程度的骨坏死,致残率极高;2、原因不明,缺血是其直接因素;3、外科一般通过开窗减压治疗,创伤大,可重复性差;4、可以通过超选择动脉内灌注溶栓、扩血管药物治疗。疗效快,创伤小,可重复性强;5、部分患儿可以自愈、但会出现自限性畸形。

       咯血
       咯血是指喉及喉以下呼吸道或肺组织出血经口咯出的一种临床症状, 需要与呕血,口腔、咽、鼻出血等相鉴别, 咯血在儿童中少见,一旦出现便会大量咯血,需要密切关注,积极寻找病因。咯血病因有:特发性肺含铁血黄素沉着症、 肺结核、 支气管扩张症、 囊性纤维化、支气管异物、 肿瘤、血管畸形(儿童大咯血主要病因)。
咯血经导管动脉栓塞后造影畸形血管消失

       呕血
       呕血(hematemesis)指患儿呕吐血液,消化道出血所致。在确定呕血之前,必须排除口腔、鼻、咽喉等部位的出血以及咯血。应针对病因治疗,一般先采用内科保守治疗,内科保守治疗无效后,建议行经导管动脉栓塞治疗。
 
       十二指肠溃疡导致大量呕血后经导管动脉栓塞治疗后完全止血。